Ho una macchia sul dente !
Ho una macchia sul dente !
Le cause più' comuni che determinano macchie bianche lattiginose sotto lo smalto dei denti permanenti sono due:
- assunzione eccessiva di fluoro durante la gravidanza
- trauma al dente deciduo
Durante i primi anni di vita i denti decidui (denti da latte) sono a stretta relazione con i denti permanenti che si stanno formando.
Quando si verifica un trauma al dente deciduo in questo periodo, si puo' ripercuotere sulla gemma del permanente e di conseguenza nell'estetica, che si rivelerà approssimativamente all'età di otto anni con macchie biancastre o deformazioni della corona, a seconda dell'entità del danno.
L'effetto avverso più comune di un eccesso di fluoro è la fluorosi dentale.
Durante lo sviluppo dei denti nei bambini, il fluoro viene incorporato nello smalto mentre si forma. Solitamente è una buona cosa, in quanto rafforza lo smalto, tuttavia, se è presente troppo fluoro, si può interrompere la formazione dello smalto, causando difetti estetici sulla superficie di alcuni o tutti i denti.
La presenza di piccole, quasi impercettibili macchie bianche che si trovano su un singolo o pochi denti, viene classificata come fluorosi leggera.
Come fluorosi moderata quando più denti sono coinvolti e le macchie sono più evidenti, e come fluorosi grave, quando il dente diventa screziato e le macchie sono marroni e piuttosto antiestetiche (la fluorosi grave, in realtà aumenta il rischio di carie).
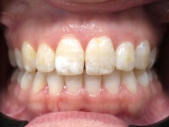
Da non confondere con il primissimo sintomo clinico del processo carioso, che è una lesione a macchie bianca, caratterizzta da un aspetto bianco gessoso, detta: White spot. Lo strato superficiale sarà intatto, ma si potrà notare una zona di smalto demineralizzato sotto a questo strato superficiale.
Durante il processo di demineralizzazione, il dente ha perso il calcio e fosfato.
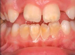
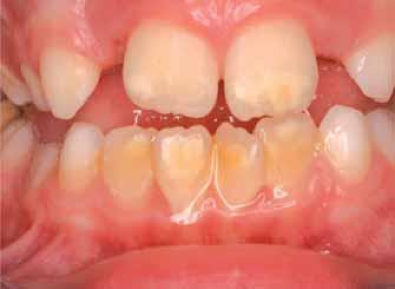
Se le macchie variano dal bianco opaco al giallo marrone, allora parliamo di MIH:
Questa è una sindrome che normalmente colpisce i primi molari permanenti e gli otto incisivi.
Essi presentano lo smalto chiazzato con macchie di colore che variano dal bianco opaco al giallo marrone.
MIH è un acronimo che sta per Molar Incisor Hypomineralization, cioè scarsa mineralizzazione dello smalto dentale. Lo smalto è il tessuto più duro dell'organismo e, in questi pazienti (secondo gli studi istomorfologici) si presente poroso, non compatto.
A seconda della quantità di mancanza di minerali si distinguono forme lievi, medie e gravi che si caratterizzano per manifestazioni cliniche differenti; al peggiorare della sindrome, le macchie diventano di colore più scuro e coinvolgono zone più ampie di smalto.
Le ipotesi sulle cause sono numerose e comunque non ancora certe.
Tra le più discusse: suscettibilità generica, asma, infezioni del tratto respiratorio superiore, otite media, diossine nel latte materno, tonsilliti, malattie esantematiche, carenza di vitamina D, problemi di salute correlati al periodo pre-peri-post natale e diarrea cronica. Per riassumere, quindi, problemi di salute generale, che si sono manifestati nei primi 3 anni di vita, quindi nel periodo di mineralizzazione di primi molari e incisivi centrali permanenti. Inoltre, negli ultimi anni gli autori stanno indagando sulla correlazione tra MIH e l'utilizzo di alcuni antibiotici tra cui l'amoxicillina.
Ultima ipotesi secondo le conclusioni del lavoro svolto da un gruppo di ricercatori americani i denti potrebbero essere danneggiati dal Bisfenolo A (BPA) un composto chimico usato nella confezione di materie plastiche e resine come contenitori per alimenti, quali bottiglie o biberon e anche per film protettivi all'interno delle lattine e dei barattoli. Questo studio dimostra che i denti sono gli ultimi di una gia' lunga lista di vittime del BPA.
È importante ricordare che tra la ventottesima settimana in utero e i primi dieci giorni di vita gli ameloblasti iniziano l'amelogenesi nei primi denti permanenti che si formano.
È stato dimostrato che gli ameloblasti sono tra le cellule più sensibili del corpo umano. Se la loro funzione viene interrotta temporaneamente o permanentemente, in base alla durata del tempo dell'insulto, si determinerà un'ipoplasia o un'ipomineralizzazione dello smalto.
Questa sindrome presenta alcune caratteristiche:
- Negli incisivi le macchie hanno solo una valenza estetica
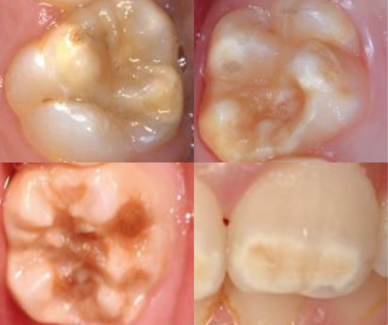
Nei molari, invece, sono il segno di una fragilità dello smalto che rapidamente si trasforma in carie
I molari presentano spesso un'aumentata sensibilità agli stimoli termici e durante lo spazzolamento, per tale motivi i bambini tendono a trascurare l'igiene orale. Si crea così un circolo vizioso che porta al rapido deterioramento dei molari.
Spesso l'anestesia usata per trattare questi molari risulta poco efficace.
COME AFFRONTARE QUESTA SINDROME
- E' necessaria una diagnosi precoce (da qui l'importanza dei controlli periodici dei bambini). Una diagnosi tempestiva (non appena il dente erompe) permette di pianificare un trattamento conservativo finalizzato alla mineralizzazione dello smalto poroso.
- Mineralizzazione dello smalto e desensibilizzazione del dente: si usano prodotti a base di caseina e di fluoro (dentifrici, gel e vernici).
- Prevenzione delle lesioni cariose e/o cura delle stesse: la prevenzione avviene attraverso i sigillanti occlusali e, se di cura c'è bisogno, si usano materiali adesivi a base di resina.
Monitoraggio nel tempo: il piccolo dopo i trattamenti deve essere seguito con cadenze stabilite dal dentista.


